HALO Macrodissection Solutions

Confidence in Molecular Results with AI-powered Workflows

HALO Macrodissection Solutions uses AI to standardize tumor quantification, eliminate manual estimation, and streamline ROI selection. By quickly identifying samples below molecular testing thresholds, it ensures optimal tumor concentration for downstream analysis, reducing time and cost while improving precision, consistency, and confidence.

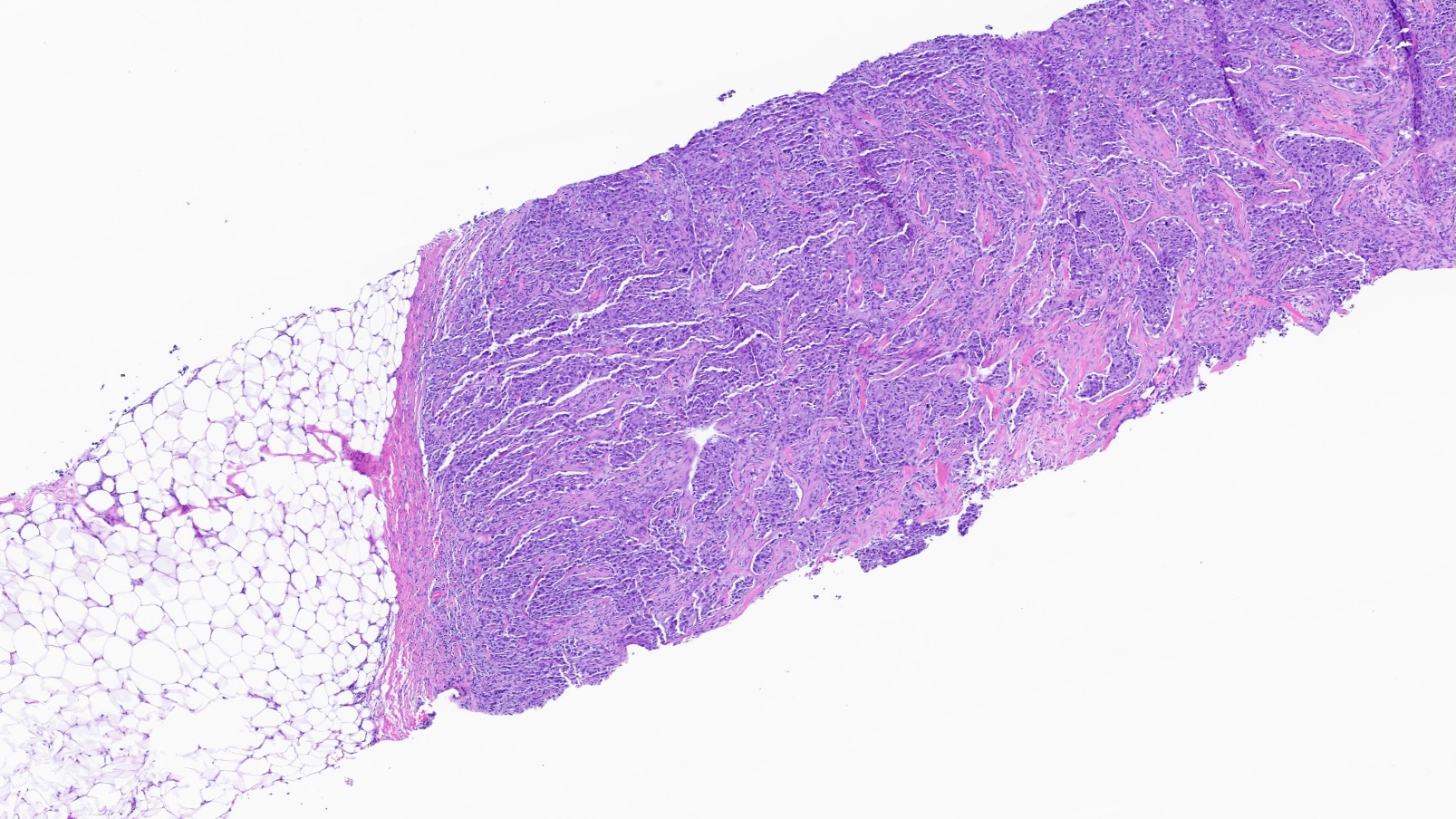
HALO Macrodissection Solutions is a suite of AI tools that quantifies tumor content and guides ROI selection to enhance molecular analysis. A colorectal tissue specimen and tumor region is displayed in the picture. The suite is validated for lung, breast, and colorectal cancer tumor specimens.

Inputs
H&E whole slide images from primary and metastatic NSCLC resections, excisions, and/or core needle biopsies

Key Outputs​

  • Tissue Detection/Artifact Exclusion ​
  • Benign Epithelial Identification ​
  • Cell Phenotyping ​
  • Density Heatmap ​
  • Percent tumor content for whole slide image and dissection ROIs

Validation Highlights

  • Analytical validation demonstrated reliable and consistent tumor cell identification with tumor cell precision of 0.94 and an F1 score of 0.94
  • Inter-pathologist agreement on Lung tumor content improved significantly when using Lung Macrodissect AI compared with manual assessment alone.

Inputs
H&E whole slide images from primary and metastatic CRC resections, excisions, and/or core needle biopsies.

Key Outputs​

  • Tissue Detection/Artifact Exclusion ​
  • Benign Epithelial Identification ​
  • Necrotic Cell Identification​
  • Cell Phenotyping ​
  • Density Heatmap ​
  • Percent tumor content and percent necrotic cells for whole slide image and dissection ROIs

Validation Highlights

  • Analytical validation demonstrated reliable and consistent tumor cell identification with tumor cell precision of 0.96 and an F1 score of 0.97.
  • Inter-pathologist agreement on CRC tumor content improved significantly when using CRC Macrodissect AI compared with manual assessment alone.

Inputs
H&E whole slide images from primary invasive breast carcinoma resections, excisions, and/or core needle biopsies.

Key Outputs​

  • Tissue Detection/Artifact Exclusion ​
  • Non-invasive Epithelia Detection 
  • Regions of Necrosis/RBCs & Necrotic Nuclei
  • Cell Phenotyping​
  • Density Heatmap ​
  • Percent tumor content and percent necrotic cells for whole slide image and dissection ROIs

Validation Highlights

  • Analytical validation demonstrated reliable and consistent tumor cell identification with tumor cell precision of 0.93 and an F1 score of 0.92.

Coming soon!

Thank you for your interest in our Prostate Macrodissect AI algorithm! This section is currently under construction. If you have any questions, please reach out to info@indicalab.com

Workflow
H&E slides prepared from tissue specimens are scanned into HALO AP®, where advanced algorithms automatically detect tissue, eliminate background and artifacts, and distinguish benign epithelium from tumor regions. Integrated cell counts and tumor density heatmaps provide pathologists with clear, data-driven insights to define precise ROIs for downstream macrodissection.

Intended Use
HALO Macrodissection Solutions are for Research Use Only and not intended for clinical diagnostic use.

A Fully-Automated, AI-Powered Macrodissection Workflow

In addition to standardizing tumor content quantification for traditional macrodissection workflows, HALO Macrodissection Solutions can integrate with Xyall’s Tissector automated macrodissection platform, creating a comprehensive, auditable solution that is precise and more efficient than conventional methods. The result is a streamlined workflow that improves accuracy while saving staff time and resources.

Macrodissect with Confidence: A Visual Audit Trail You Can Trust 

By combining HALO Macrodissection Solutions with Xyall, a detailed audit trail can be generated for each case, including pre- and post-dissection images, ensuring greater accuracy and consistency.

Confidence in Results​

HALO Macrodissection Solutions accurately quantify tumor content and standardize downstream molecular analysis to ensure reproducibility in results. 

Streamline Workflows and Save Resources

With automated tumor content analysis, you can streamline your ROI selection process and save time. 

Auditable Process

An auditable macrodissection workflow ensures transparency and confidence in macrodissection.

Interested in learning more?

Schedule a call to see how HALO Macrodissect Solutions can meet your needs.
The featured image shows a male pathologist in a lab coat using a futuristic interface of HALO AP for image analysis.

Seamless Deployment in HALO AP®

HALO Macrodissection Solutions are deployed and fully integrated into HALO AP®, the AI-powered, pathologist-driven platform for anatomic pathology workflows from Indica Labs.
The featured image shows a male pathologist in a lab coat using a futuristic interface of HALO AP for image analysis.

Want to Learn More?

Fill out the form below to request a live demo of any HALO Macrodissect algorithms or to learn more about our other clinical solutions. You can also drop us an email at info@indicalab.com

Products & Services

Interested in purchasing or learning more about our products and services? Our highly trained application scientists are a couple of clicks away.

Software Maintenance & Support Coverage

Interested in purchasing an SMS plan? We would be happy to give you a quote.

Technical Support 

Need technical support? Our IT specialists are here to help.

We highly recommend using Google Chrome when filling out the form above. Please email marketing@indicalab.com for support.

HALO Macrodissection Solutions are for Research Use Only and not intended for clinical diagnostic use. HALO Macrodissection Solutions are accessed via the HALO AP® enterprise digital pathology platform.

HALO AP® is CE-IVDR marked for in-vitro diagnostic use in Europe, the UK, and Switzerland. HALO AP® is For Research Use Only in the USA and is not FDA cleared for clinical diagnostic use. In addition, HALO AP® provides built-in compliance with FDA 21 CFR Part 11, HIPAA, and GDPR.

WBS-MAR-000009v1

Scroll to Top